Cos'è
La tomografia ottica a radiazione coerente (OCT) sfrutta un principio fisico, l’interferometria, per ottenere informazioni sul tessuto in esame: il principio di funzionamento dell'interferometria è simile a quello dell'ecografia, ma al tempo stesso si differenzia da esso in quanto sfrutta la riflessione di onde luminose da parte delle diverse strutture oculari piuttosto che la riflessione delle onde acustiche di conseguenza non richiede il contatto con il paziente.

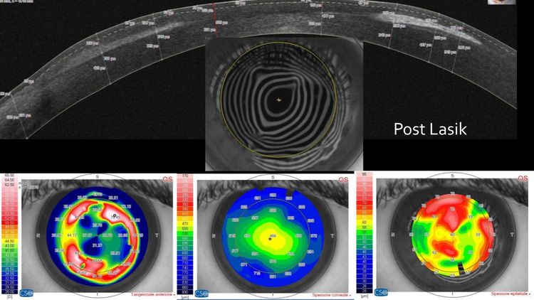
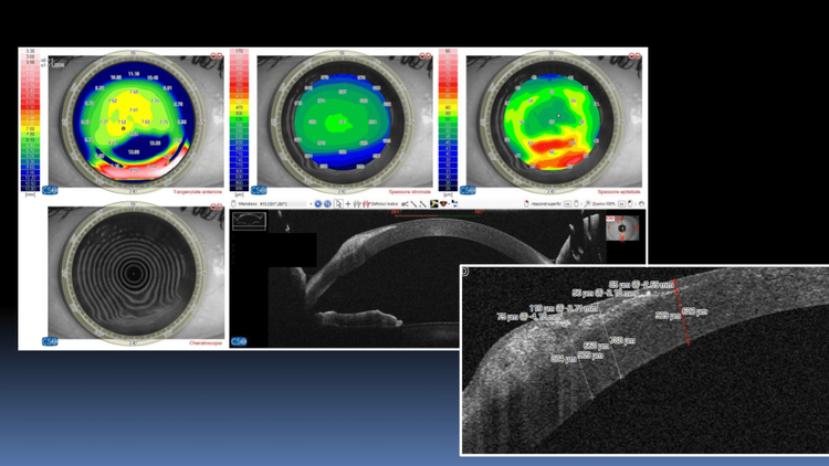
L’OCT è un esame di estrema importanza nella valutazione delle patologie del segmento anteriore

L’esame ultrastrutturale consentita dall’OCT: si notino gli strati corneali
A cosa serve?
L’OCT del segmento anteriore è una particolare tipo di tomografo corneale che ha il grande vantaggio di riuscire a eseguire una tomografia di tutto il segmento anteriore (simile ad una TAC ma senza raggi nocivi) e fornire all’oculista importanti informazioni, fra cui la forma della cornea, lo spessore dell’epitelio e dello stroma corneale oltre che forma e dimensione della camera anteriore.

Camera anteriore: lo spazio racchiuso fra cornea iride e cristallino
Queste misure sono di fondamentale importanza per la diagnosi di patologie corneali (vedi carosello di immagini sottostanti) come il cheratocono, distrofia corneali, qualità della chirurgia, complicanze post chirurgie pregresse, lo studio dell'occhio secco.
In aggiunta l’OCT del segmento anteriore è utile per la misura della camera anteriore e il calcolo della lente intraoculare da impiantare in caso di cataratta o lente per la correzione della miopia o astigmatismo.
Come funziona l’OCT del segmento anteriore?
Questo sofisticato strumento riesce a eseguire la scansione di tutto il segmento anteriore in una frazione di secondo, senza aver necessità di gocce o raggi nocivi.
È pericoloso?
L’esame si esegue tranquillamente durante una normale visita oculistica ed è totalmente innocuo ed indolore.
Chi può effettuare una misurazione con OCT del segmento anteriore?
Tutti i pazienti previa indicazione dell'operatore sanitario